Rhodesian Ridgebacks ZAMOYONI
  ZAMOYONI Rhodesian Ridgebacks
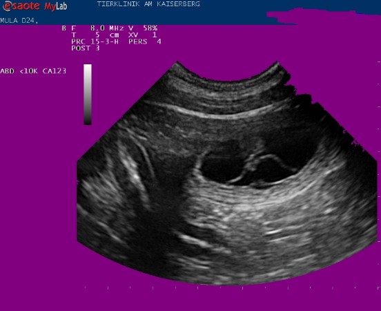
Sehr gut zu erkennen das AMNION ( die innere Eihaut)und die typische Querstreifung, die immer und auch NUR bei einer Trächtigkeit auftritt.

Samstag 19.April 2008 

Heute war der Ulltraschalltermin bei Mula und es ist der 26.Tag  der Trächtigkeit festgestellt worden - die einzelnen Embryonen sind nun etwa walnussgross und sind gleichmässig im Uterus verteilt.

Mula geht es sehr gut - sie ist überaus anhänglich und ihr Appetit unbändig....

ZurückWeiter